Nữ, 20 tuổiĐang mở
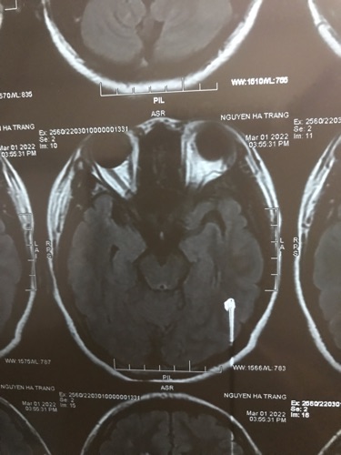
Em chào các bác sĩ ạ. Nay em có đi khám về hậu covid do thường xuyên mất ngủ , khó thở thì được bác sĩ khám nội phát hiện ra hình ảnh chụp MRI có tổn thương nghi ngờ viêm não nhưng do không phải chuyên môn nên bác sĩ khuyên em nên khám chuyên khoa thần kinh, khả năng cao chỗ viêm có từ trước khi em bị covid Em cần nhờ bác sĩ bên mình khoa thần kinh xem giúp em với ạ và nếu khám thì khám viện nào tại HN được ạ. Em cảm ơn ai



02/03/2022
7 Trả lời
1 Cảm ơn

Chào em
02/03/2022
Nữ, 20 tuổi
Dạ em chào chị ạ
02/03/2022

Trường hợp của em, bác sĩ cần hỏi thêm thông tin mới tư vấn cho em được
07/03/2022

Em đặt khám với c nhé, khám online miễn phí
07/03/2022

Em làm như sau Ấn vào phần Bác sĩ ơi, tìm bác sĩ Trần Thị Hoa, ấn tư vấn trực tuyến, chọn khung giờ, nhập triệu chứng, ấn tiếp tục Bước 3: Ấn vào nhập mã ưu đãi, ấn vào mã giảm 150k, ấn hoàn thành
07/03/2022