Nữ, 36 tuổiĐang mở
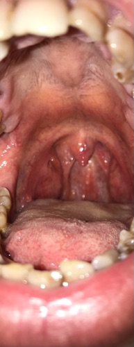
Em bị viêm họng kéo dài khô cổ có đờm , có phải viêm họng mãn tính không bác sĩ ? Em uống kháng sinh không khỏi? Xin bác sĩ tư vân

23/03/2022
3 Trả lời
0 Cảm ơn

BS. Nguyễn Huyền Nhung
Chào anh!
23/03/2022

BS. Nguyễn Huyền Nhung
Có thể anh bị viêm họng do trào ngược anh ạ
23/03/2022

BS. Nguyễn Huyền Nhung
Anh đặt lịch khám online với bs nhé. Để bs thăm khám,tư vấn và kê đơn thuốc cho anh. Anh cài app isofhcare bác sỹ ơi, ấn vào ảnh đại diện của bs, đặt lịch khám trực tuyến và chọn voucher giảm giá 150k là đặt được lịch khám trực tuyến miễn phí với bs anh nhé.
23/03/2022