Nữ, 20 tuổiĐang mở
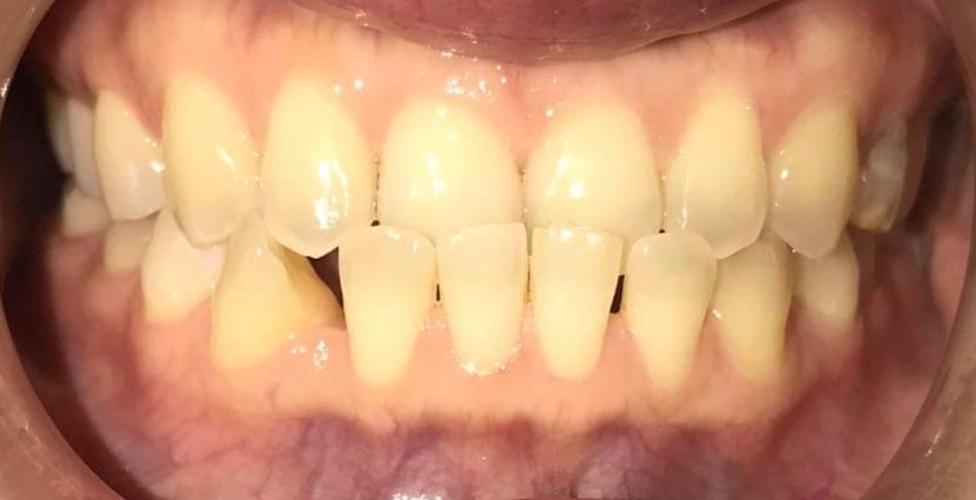
Bác sĩ cho em hỏi, em bị khớp cắn ngược, khi ăn 2 bên hàm phát ra tiếng kêu của khớp hàm, mùa đông khi ngáp hay bị đau, có khi khó ngậm miệng. Bsi tư vấn giúp có cần chữa trị ko ak?

22/01/2022
1 Trả lời
0 Cảm ơn

Dương Thị Hạnh
Chào em
27/01/2022