Nữ, 18 tuổiĐang mở
Bác sĩ cho e hỏi là sáng nay e ngủ dậy, e cảm thấy đau vùng cằm bây h sờ vô có cứng nhỏ nên e cũng đang lo lắng ạ mong bác sỹ tư vấn
01/09/2021
12 Trả lời
1 Cảm ơn

BS. Nguyễn Huyền Nhung
Em vào phần hồ sơ khám bệnh để nhận đơn thuốc nhé
02/09/2021
Nữ, 18 tuổi
Dạ e có thấy r
02/09/2021
Nữ, 18 tuổi
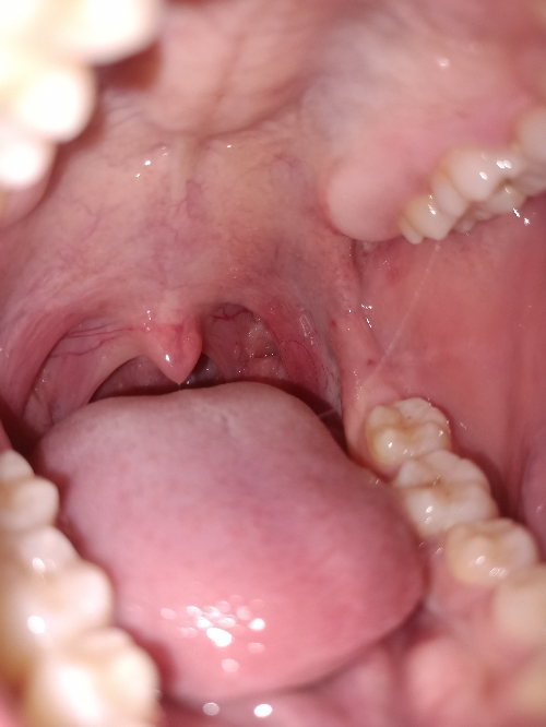
Dạ hôm nay e cảm thấy đỡ đau cằm á còn hơi thốn thốn mà e thấy rát bên trong á ăn vào hơn rát ạ


03/09/2021

BS. Nguyễn Huyền Nhung
Họng e có hơi viêm 1 chút
03/09/2021

BS. Nguyễn Huyền Nhung
E kiên trì uống theo đơn thuốc bs kê nhé
03/09/2021