Nữ, 20 tuổiĐã đóng

Viêm họng

Bác sĩ cho e hỏi e bi viem họng mãn tính có dùng được tinh dầu răng miệng dạ thảo liên k ak và tinh dầu đó có tốt không ạ

13/01/2024

22 Trả lời

1 Cảm ơn

Hồ Minh Tâm

Nữ, 20 tuổi

Da viêm họng và trào ngược dạ dày thi mình điều trị cái nào trước ak

14/01/2024

Hồ Minh Tâm

Hồ Minh Tâm

Vừa điều trị dạ dày trào ngược vừa thêm thuốc giảm ho

14/01/2024

Hồ Minh Tâm

Nữ, 20 tuổi

14/01/2024

Hồ Minh Tâm

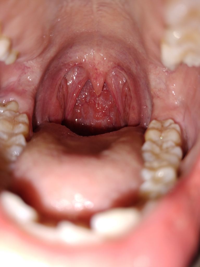
Nữ, 20 tuổi

Cho e hỏi đây có phải viêm họng hạt không ak

14/01/2024

Hồ Minh Tâm

Nữ, 20 tuổi

Alo bác sĩ

17/01/2024

ĐẶT CÂU HỎI VỚI BÁC SĨ

avatar-user
Tuổi
Thêm ảnh
* Câu trả lời của bạn sẽ được hiển thị công khai