Nữ, 18 tuổiĐã đóng
Sâu răng
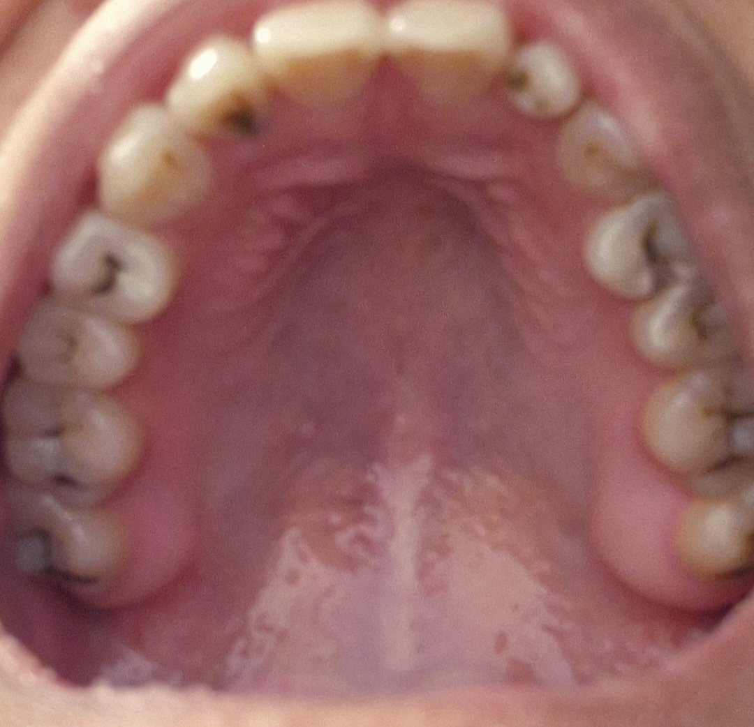
Hiện trạng răng của tôi như này liệu có điều trị khỏi được không?

26/01/2024
4 Trả lời
0 Cảm ơn

Dương Thị Hạnh
Chào em
26/01/2024

Dương Thị Hạnh
Em cần điều trị sớm và hàn răng, tránh trường hợp để lâu hỏng tủy răng
26/01/2024

Dương Thị Hạnh
Và phải thay răng mới
26/01/2024

Dương Thị Hạnh
Chữa vẫn khỏi đc nhưng khá tốn tiền em nhé
26/01/2024