Nữ, 20 tuổiĐã đóng
Nhiệt ở lưỡi
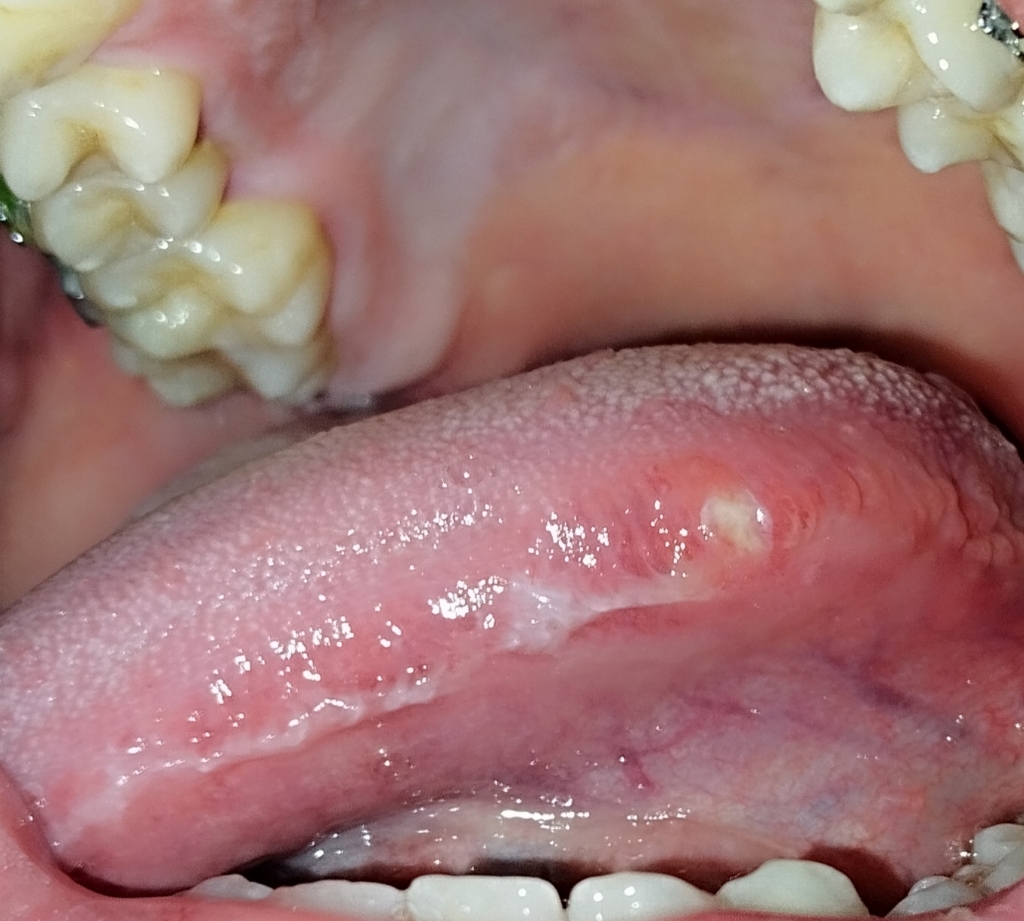
Em chào bác sĩ em là nam 20 tuổi hôm qua em có cảm giác hơi khó chịu ở vùng cạnh lưỡi và đi soi gương phát hiện ra có 1 vết trợt nhỏ màu trắng đến hôm nay bắt đầu đau nhiều và đau lan lên tai, nó gây đau và rất khó khăn khi ăn và nói chuyện, vết trợt này không chảy máu, không có mùi, sờ vào mềm không chai cứng bác sĩ cho em hỏi đấy có phải vết nhiệt ở lưỡi không hay là ung thư lưỡi ạ, và bác sĩ có thể nói cụ thể hơn về ung thư lưỡi không ạ ? Em có cần thiết phải đi sinh thiết không ? Hiện tại em đang rất lo lắng mong bác sĩ trả lời giúp em. Em cảm ơn bác sĩ nhiều

06/02/2024
10 Trả lời
0 Cảm ơn
Nữ, 20 tuổi
Em chụp rõ hơn rồi ạ vậy nó cũng chỉ là vết loét nhiệt miệng thông thường thôi đúng k ạ ?
07/02/2024
Nữ, 20 tuổi

07/02/2024

Vết loét thông thường không có yếu tố ung thư
07/02/2024
Nữ, 20 tuổi
Vậy làm thế nào để giảm đau ạ chứ nó đau lan lên tai đau cả hàm em k ăn đc bác sĩ ạ
07/02/2024

Nên dùng thuốc chống viêm giảm đau NSAID em
26/02/2024