Nữ, 20 tuổiĐã đóng

Đau sưng amidan

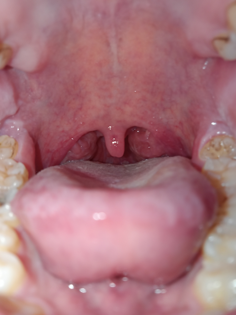
Em bị đau 1 bên amidan bên phải nuốt đồ ăn hay thè lưỡi ra thì rất đau lúc em soi gương thì thấy amidan bên phải sưng to hơn amidan bên trái thì e có sao ko ạ

08/03/2024

11 Trả lời

0 Cảm ơn

Hồ Minh Tâm

Hồ Minh Tâm

Trước hết cần chẩn đoán đúng. Em gửi ảnh bác sĩ xem đã

08/03/2024

Hồ Minh Tâm

Nữ, 20 tuổi

08/03/2024

Hồ Minh Tâm

Nữ, 20 tuổi

Dạ đây ạ

08/03/2024

Hồ Minh Tâm

Hồ Minh Tâm

Viêm amydal rõ rồi

08/03/2024

Hồ Minh Tâm

Hồ Minh Tâm

Em dùng đơn thuốc trị amydal như kháng sinh, chống viêm, súc họng nước muối

08/03/2024

ĐẶT CÂU HỎI VỚI BÁC SĨ

avatar-user
Tuổi
Thêm ảnh
* Câu trả lời của bạn sẽ được hiển thị công khai