Nữ, 20 tuổiĐã đóng
Viêm amidan có mủ
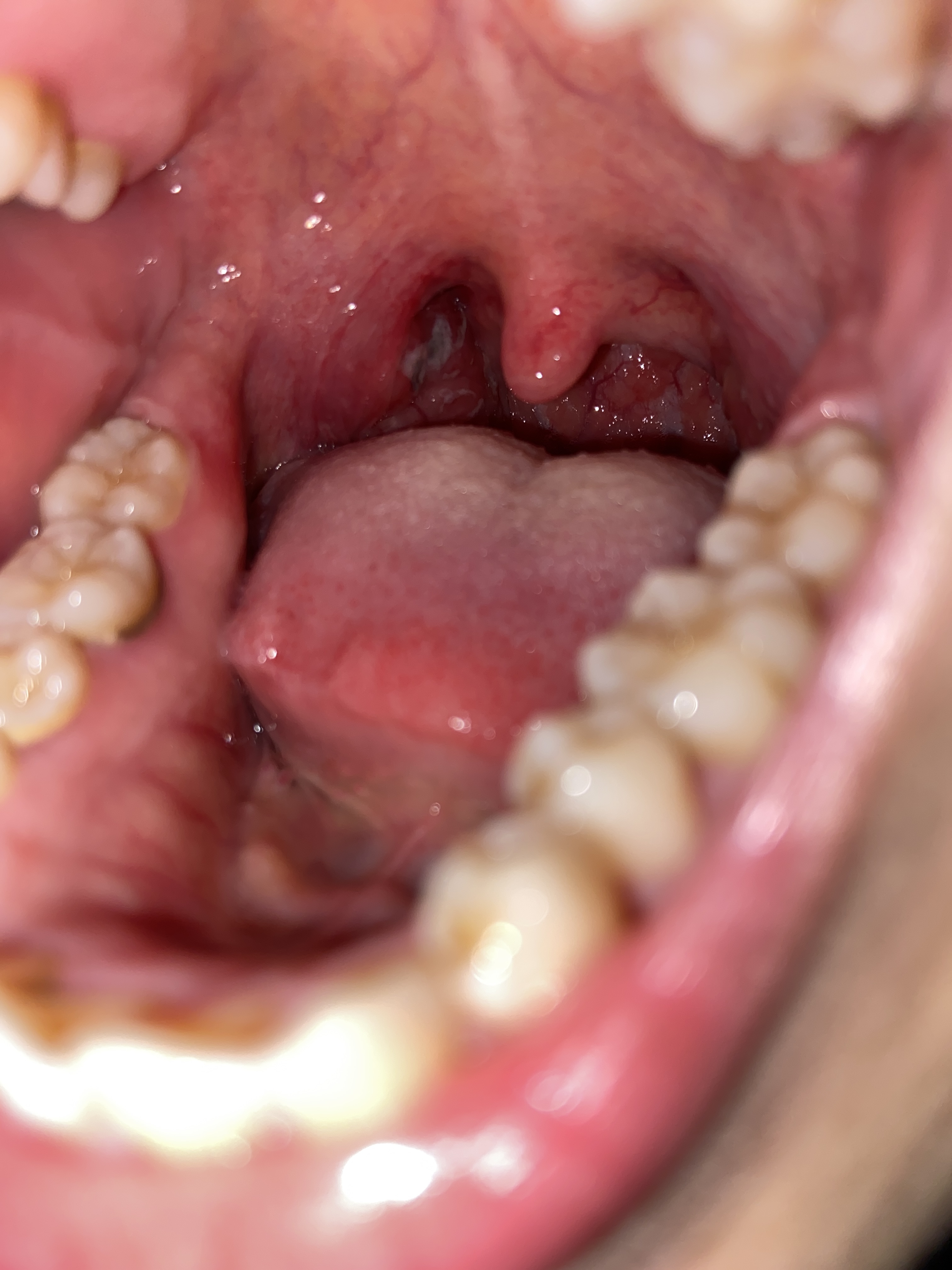
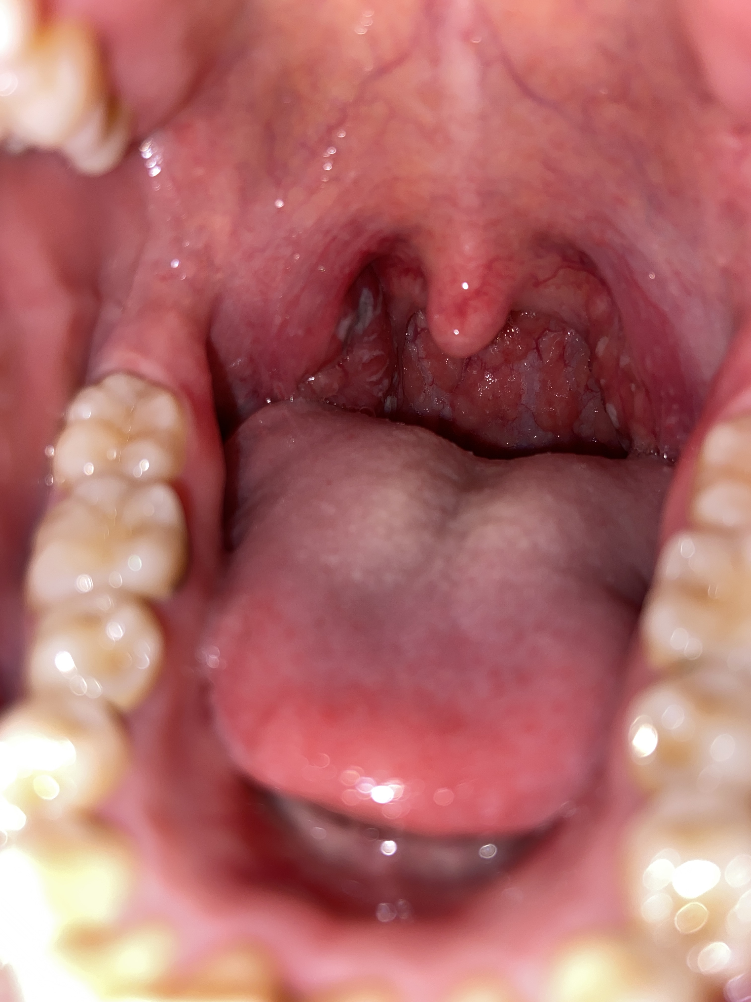
Bác sĩ ơi em đau họng xuất hiện mủ trắng.đi khám hồi sáng kết luận viêm amidan có mủ. Giờ soi đèn thấy mủ chuyển sang màu đen như này là sao ạ


25/05/2024
2 Trả lời
0 Cảm ơn

Hồ Minh Tâm
Chào em
25/05/2024

Hồ Minh Tâm
Hình ảnh amydal hốc mủ. Vị trí đó em kiểm tra có hiện tượng vỡ mủ không
25/05/2024