Nữ, 24 tuổiĐã đóng
Chẩn đoán sùi màu gà
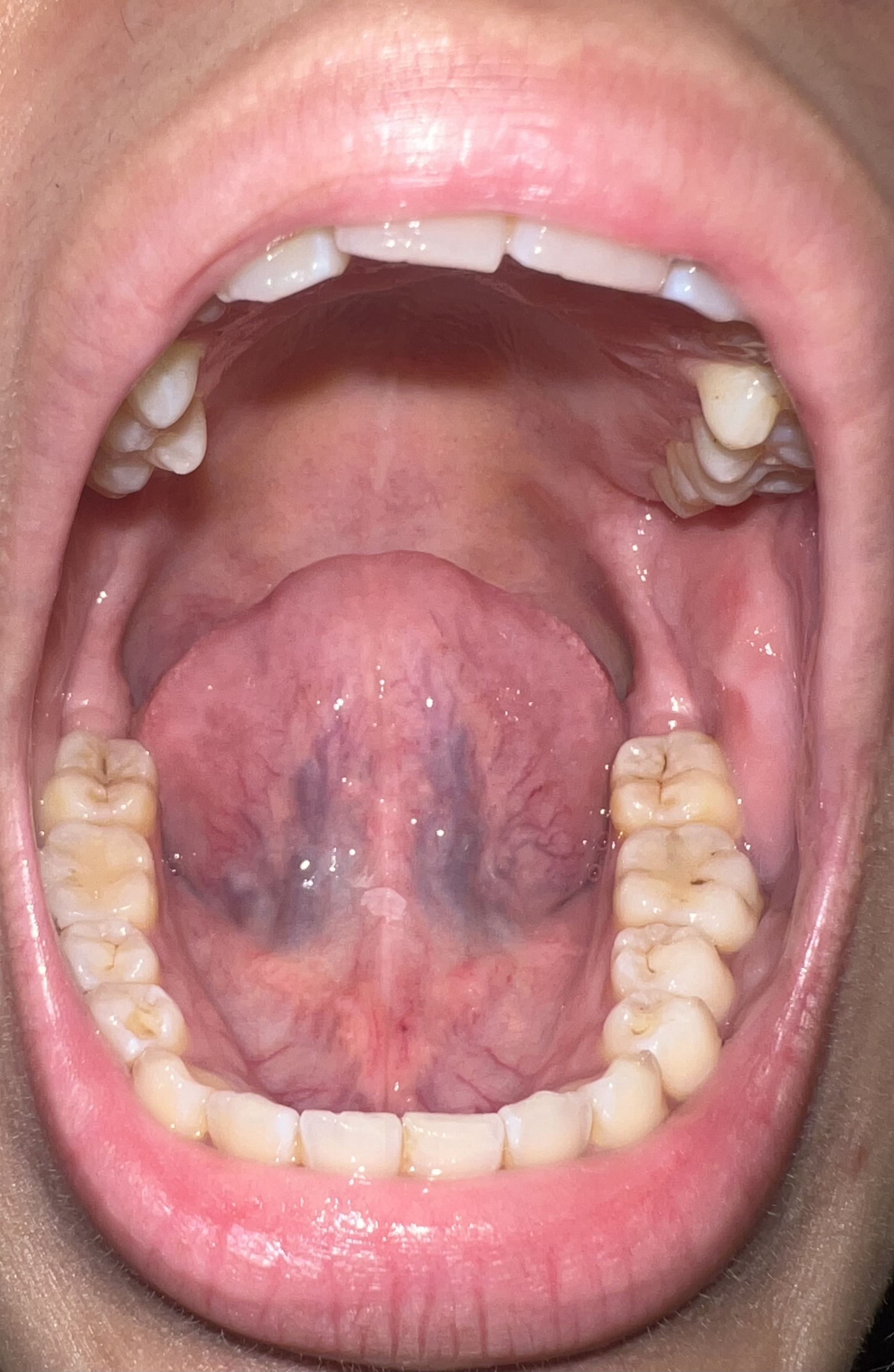
Chào bác sĩ, em vừa phát hiện mình nổi các mảng trắng sau lưỡi, nhô lên nhám nhám, ko có mụt li ti. Em nghi ngờ kbiet đây phải smg không do trước đây có qh bằng miệng. Nhờ bsi xem và đánh giá giúp em, em cảm ơn nhiều ạ



10/12/2024
2 Trả lời
0 Cảm ơn

DƯƠNG THỊ HẠNH
Tổn thương này khá giống Sùi mào gà
15/12/2024

DƯƠNG THỊ HẠNH
Em nên đi xn HPV con virus gây sùi mào gà và nên đi đốt sùi em nhé
15/12/2024