Nữ, 20 tuổiĐã đóng
Chuẩn đoán phim chụp xquang
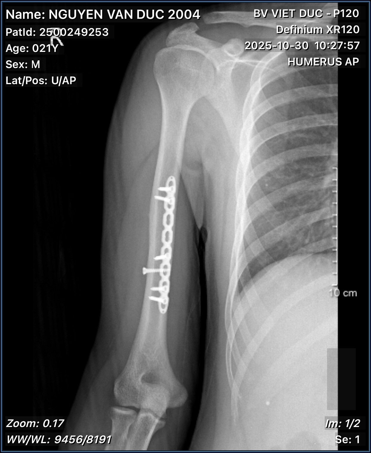
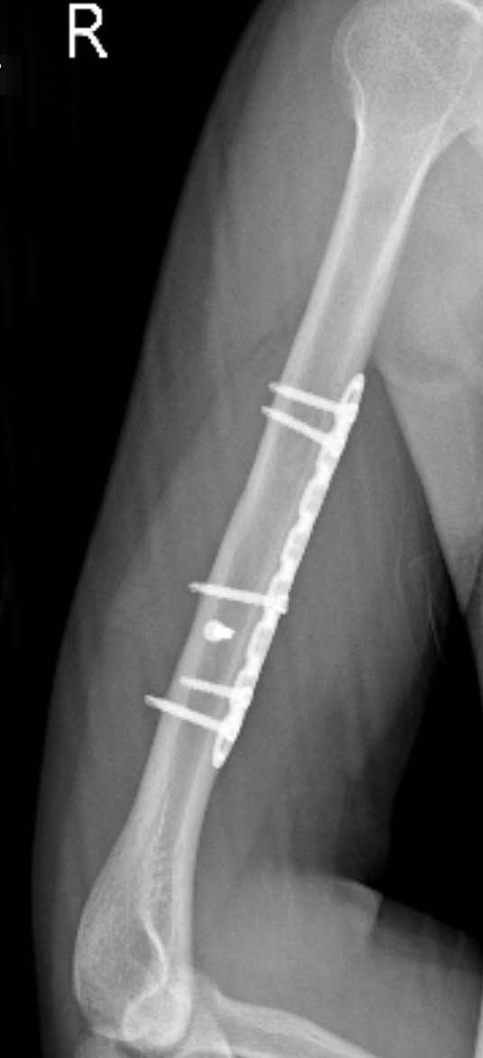
Bác sĩ ơi cho em hỏi đây là ảnh phim sau 1 năm gãy xương cánh tay của em, qua ảnh thì xương của em đã liền được tốt chưa ạ và có thể chơi thể thao chưa ạ


01/11/2025
5 Trả lời
1 Cảm ơn

HỒ MINH TÂM
Hình ảnh liền xương tốt rồi em. Tuy nhiên chưa nên chơi thể thao sớm. Em có thể tham khảo ý kiến bác sĩ phẫu thuật
03/11/2025
Nữ, 20 tuổi
Em cảm ơn ạ
03/11/2025
Nữ, 20 tuổi
Em ở Hà Nội 2 hôm nay trời lạnh cứ nâng vật gì đó hay gồng cơ lại đau thì có sao không ạ
03/11/2025

HỒ MINH TÂM
Thời tiết lạnh cũng có thể ảnh hưởng các vết mổ. Nên đau thì em vận động nhẹ nhàng
03/11/2025
Nữ, 20 tuổi
Vâng em cảm ơn ạ
03/11/2025